NJ Chapter of the American College of Prosthodontists
Expert Care for Your Smile
Learn what sets prosthodontists apart — the specialists in replacing and restoring teeth for optimal function and esthetics.
Specialized Expertise You Can Trust
Prosthodontists are dental specialists with advanced training in restoring and replacing teeth. Their expertise ensures your smile looks beautiful and functions perfectly — for life.
Advanced Training. Exceptional Results
After dental school, prosthodontists complete years of additional education focused on complex restorative and cosmetic procedures, ensuring precision and long-term success in every case.
Restoring More Than Smiles
From single crowns to full-mouth rehabilitation, prosthodontists combine art and science to rebuild confidence, comfort, and quality of life through expert dental restoration.
Dental Implants
Replace missing teeth with natural-looking, permanent solutions.
Prosthodontists specialize in designing and restoring dental implants that look, feel, and function like real teeth.
Full-Mouth Rehabilitation
Restore balance, function, and confidence.
For patients with complex needs, prosthodontists coordinate comprehensive treatment plans to rebuild the entire smile.
Cosmetic & Restorative Dentistry
Create beautiful, functional smiles.
From veneers and crowns to full-mouth makeovers, prosthodontists blend precision and artistry to enhance esthetics and comfort.
Dentures & Bridges
Restore your smile with custom-fit replacements.
Advanced techniques ensure stability, comfort, and a natural appearance — helping patients eat and smile with confidence again.
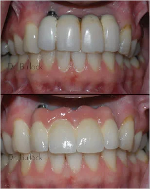
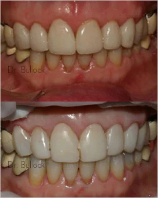
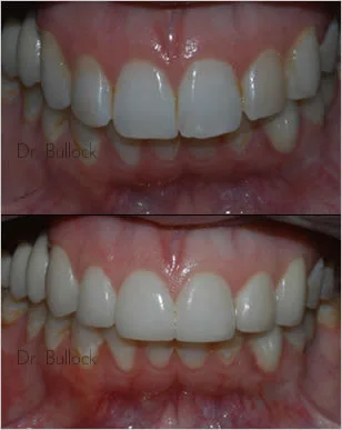
Featured patients
Find a Prosthodontist in NJ
Confidence & Trust
The ACP is the only prosthodontic specialty organization where membership is based solely on education credentials.
